Ecografía Doppler en circulación coronaria
En cardiología moderna, no basta con conocer la anatomía coronaria. En muchos escenarios clínicos, la pregunta clave no es solo si existe una estenosis, sino cómo está afectando el flujo.
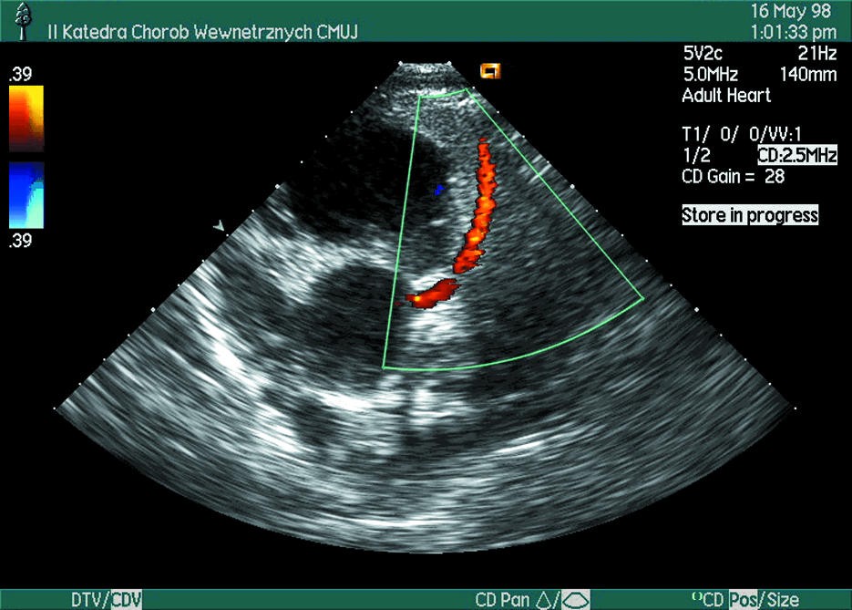
Aquí es donde la ecografía Doppler en circulación coronaria adquiere relevancia. El ultrasonido, a través del Doppler integrado en el ecógrafo, permite evaluar patrones de flujo y estimar repercusión hemodinámica.
Aunque la visualización directa de arterias coronarias epicárdicas es limitada por vía transtorácica, el Doppler aporta información funcional complementaria en contextos específicos.
¿Qué es la ecografía Doppler aplicada a circulación coronaria?
La ecografía Doppler en circulación coronaria es una modalidad de ultrasonido que permite evaluar el flujo sanguíneo mediante cambios en frecuencia reflejada por las células sanguíneas en movimiento.
En el contexto coronario, el ecógrafo puede:
-
Detectar flujo en segmentos proximales accesibles.
-
Evaluar flujo en descendente anterior.
-
Analizar reserva coronaria en situaciones seleccionadas.
-
Identificar alteraciones indirectas en perfusión.
El enfoque es funcional, no exclusivamente anatómico.
Rol del ultrasonido Doppler en enfermedad coronaria
El Doppler permite estimar:
-
Velocidad de flujo coronario.
-
Cambios en patrón diastólico.
-
Reserva de flujo coronario bajo estímulo.
-
Alteraciones hemodinámicas secundarias.
En pacientes con sospecha de enfermedad coronaria microvascular, el ultrasonido puede aportar información adicional cuando otras pruebas no son concluyentes.
Monitoreos funcionales en pacientes seleccionados
Uno de los aportes del Doppler coronario es su utilidad en monitoreos evolutivos.
Estos monitoreos pueden incluir:
-
Seguimiento post revascularización.
-
Evaluación tras angioplastia.
-
Control en enfermedad microvascular.
-
Evaluación de injertos coronarios en casos específicos.
El uso repetido del ecógrafo permite seguimiento sin exposición a radiación.
Diferencias entre Doppler coronario y otros estudios
Es importante comprender que la ecografía Doppler en circulación coronaria:
-
No sustituye angiografía coronaria.
-
No reemplaza tomografía coronaria.
-
No visualiza placas con precisión anatómica.
El ultrasonido aporta información dinámica sobre flujo, mientras que otras modalidades muestran anatomía directa.
Ambos enfoques son complementarios.
Evaluación de reserva de flujo coronario
En contextos especializados, el ecógrafo con Doppler puede evaluar reserva de flujo coronario mediante estímulo farmacológico.
Este análisis permite:
-
Detectar compromiso funcional.
-
Evaluar respuesta al tratamiento.
-
Analizar microcirculación coronaria.
La precisión depende de experiencia técnica y calidad del equipo.
Limitaciones técnicas del ultrasonido coronario
La ecografía Doppler en circulación coronaria presenta desafíos:
-
Ventana acústica limitada.
-
Difícil acceso a vasos profundos.
-
Dependencia del operador.
-
Variabilidad técnica.
El ultrasonido es sensible a calidad de señal y posicionamiento del transductor.

Un paciente con dolor torácico persistente y angiografía sin lesiones significativas continúa sintomático. Mediante ecografía Doppler se evalúa posible alteración en reserva de flujo.
El monitoreo funcional permitió orientar diagnóstico hacia enfermedad microvascular.
En este caso, el uso estratégico del ecógrafo aportó información que la anatomía aislada no mostraba.
Impacto en decisiones terapéuticas
La información obtenida mediante ultrasonido puede influir en:
-
Ajuste de terapia antianginosa.
-
Evaluación de respuesta a revascularización.
-
Seguimiento post intervención.
-
Estratificación funcional.
Los monitoreos seriados aportan una visión evolutiva del flujo.
Relevancia tecnológica y equipos biomédicos
Desde perspectiva institucional, el ecógrafo destinado a Doppler coronario debe contar con:
-
Alta resolución temporal.
-
Doppler pulsado estable.
-
Capacidad de análisis espectral preciso.
-
Buen procesamiento de señal.
Los equipos biomédicos deben garantizar estabilidad en mediciones repetitivas, especialmente en evaluaciones dinámicas.
La precisión del ultrasonido depende tanto de tecnología como de entrenamiento.
Integración en protocolos clínicos
La ecografía Doppler en circulación coronaria se integra en:
-
Evaluaciones especializadas.
-
Seguimiento post intervención.
-
Estudio de enfermedad microvascular.
-
Monitoreos en investigación clínica.
No es estudio rutinario en todos los pacientes, pero sí herramienta complementaria en casos seleccionados.
Diferencias frente a ultrasonido intracoronario
Debe diferenciarse del ultrasonido intracoronario invasivo, utilizado durante procedimientos intervencionistas.
El enfoque transtorácico con ecógrafo es no invasivo y funcional.
Ambos comparten principios de ultrasonido, pero aplicaciones distintas.

La ecografía Doppler en circulación coronaria representa una herramienta funcional complementaria dentro del arsenal diagnóstico cardiovascular.
El ultrasonido, mediante el ecógrafo, permite analizar patrones de flujo y realizar monitoreos evolutivos sin radiación.
Su aplicación requiere criterio clínico y tecnología adecuada, integrándose estratégicamente dentro del manejo cardiovascular moderno.

