Doppler Ultrasound: What it is, How it Works, and What Diagnoses it Allows
You've probably heard of the Doppler ultrasound is especially useful if you've ever had a scan to check your arteries, veins, or even during pregnancy. But what makes it different from a traditional ultrasound? The answer is that, in addition to showing images of the organs, Doppler allows you to see how the blood is circulating in real time.
Thanks to this, doctors can detect problems early and make faster, more accurate decisions. And the best part: it's a procedure safe, painless and radiation-free .
What is Doppler Ultrasound?
Doppler ultrasound is an ultrasound technique that analyzes how blood moves through the veins and arteries.
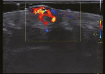
While standard ultrasound only shows images of organs and tissues, Doppler adds valuable information: Speed, direction, and quality of blood flow . That means we see not only the “structure” but also the “function.”
How does it work?
The principle is simple yet powerful: the device uses sound waves that bounce off red blood cells as they move within blood vessels. This change in frequency is what allows the speed and direction of the blood to be calculated.
In practice:
- A conductive gel in the area to be studied.
- The doctor moves the transducer on the skin.
- The screen displays color images or graphics showing blood flow in real time.
There are several types of Doppler:
- Color Doppler , which differentiates the direction of blood flow using colors.
- Spectral Doppler , which displays curves and graphs to measure speed.
- Energy Doppler , more sensitive for small flows.
- Duplex Doppler , which combines organ imaging with flow analysis.
What is Doppler Ultrasound Used For?
This study has numerous practical applications in medicine. Among the most important:
1. Blood vessels
It allows the detection of blockages, clots, or narrowing in veins and arteries. It is essential for prevention. Thrombosis, heart attacks, or strokes . These types of studies are part of what is known as vascular ultrasound .
2. Heart and large arteries
It helps to assess how the heart valves are functioning, measure blood speed, and check the condition of major arteries such as the aorta.
3. Pregnancy
It is an ally in obstetrics, as it allows doctors to check if the baby is receiving enough oxygen and nutrients through the umbilical cord and placenta. In many cases, Doppler ultrasound is used in conjunction with other diagnostic procedures. 3D ultrasound to gain a more detailed view of fetal development.
4. Internal organs
Doppler ultrasound is also used to study the liver, kidneys, or spleen, especially when tumors, blood flow problems, or portal hypertension are suspected. Its application is closely related to... total abdominal ultrasound , which offers a wider view of the abdominal area.
In Colombia, one of the main institutions that endorse diagnostic imaging practices is the The Colombian Association of Radiology (ACR) promotes standards and continuing education in this field. You can learn more about their work.
Advantages of Doppler Ultrasound
- Is safe and non-invasive .
- It does not use radiation, so it can be performed in pregnant women and children .
- The results are quick and clear .
- It helps detect diseases in early stages.
- It has a wide variety of medical applications.
Doppler ultrasound is just one of the many applications of medical ultrasound in diagnostic imaging. This field also includes studies such as abdominal, obstetric, and portable ultrasound, which provide key information depending on the clinical case.
If you want to delve deeper into the full scope of ultrasonography, I recommend reading our Medical Ultrasound Guide

