Bienvenido a nuestro blog de equipos médicos, donde compartimos noticias del sector, consejos prácticos y novedades tecnológicas en ultrasonido y endoscopia. Descubre nuestros artículos más recientes para tomar decisiones informadas en tu práctica diaria.
Blog GSMED
Noticias, tendencias y conocimiento en tecnología médica
Lo Último
Ecografía Médica: Imágenes y Diagnósticos Clave para la Salud
La ecografía médica es una herramienta de diagnóstico esencial que permite obtener imágenes en tiempo real del interior del cuerpo...
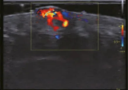
Ecografía Doppler: Qué es, Cómo Funciona y Qué Diagnósticos Permite
La ecografía Doppler es una herramienta clave para evaluar cómo circula la sangre a través de venas y arterias en...
Más contenido recomendado
Suscríbete
Suscríbete a nuestra newsletter y recibe una selección de artículos interesantes cada semana.

