Noticias - tecnología médica
Ecógrafos veterinarios: Aliados en el diagnósti...
Los ecógrafos veterinarios son herramientas esenciales para el diagnóstico en animales, permitiendo obtener imágenes precisas y en tiempo real de órganos internos gracias a la tecnología de ultrasonido. Este artículo...
Ecógrafos veterinarios: Aliados en el diagnósti...
Los ecógrafos veterinarios son herramientas esenciales para el diagnóstico en animales, permitiendo obtener imágenes precisas y en tiempo real de órganos internos gracias a la tecnología de ultrasonido. Este artículo...
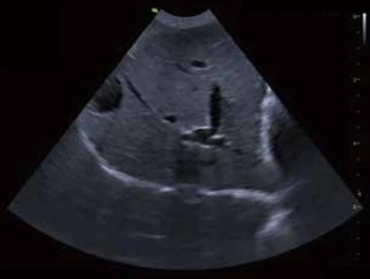
Exploración Abdominal en Veterinaria: Clave par...
La ecografía abdominal es una herramienta fundamental en la medicina veterinaria moderna, ya que permite visualizar en tiempo real los órganos internos de los animales sin procedimientos invasivos. A través...
Exploración Abdominal en Veterinaria: Clave par...
La ecografía abdominal es una herramienta fundamental en la medicina veterinaria moderna, ya que permite visualizar en tiempo real los órganos internos de los animales sin procedimientos invasivos. A través...
Global FAST: Un Enfoque Rápido para Detectar As...
El protocolo Global FAST se ha convertido en una herramienta esencial en emergencias veterinarias, permitiendo la detección rápida de ascitis, derrame pericárdico y otros signos críticos en pacientes con trauma...
Global FAST: Un Enfoque Rápido para Detectar As...
El protocolo Global FAST se ha convertido en una herramienta esencial en emergencias veterinarias, permitiendo la detección rápida de ascitis, derrame pericárdico y otros signos críticos en pacientes con trauma...
La Ecografía Abdominal en Veterinaria: Diagnóst...
La ecografía veterinaria abdominal es una herramienta fundamental para evaluar la salud interna de los animales sin procedimientos invasivos. A través de equipos avanzados como VINNO VET, los especialistas pueden...
La Ecografía Abdominal en Veterinaria: Diagnóst...
La ecografía veterinaria abdominal es una herramienta fundamental para evaluar la salud interna de los animales sin procedimientos invasivos. A través de equipos avanzados como VINNO VET, los especialistas pueden...
Diagnóstico y Tratamiento de la Hipertensión Pu...
La hipertensión pulmonar severa en caninos es una condición grave y frecuentemente silenciosa que aumenta la presión en las arterias pulmonares, afectando la respiración y el funcionamiento del corazón. Sus...
Diagnóstico y Tratamiento de la Hipertensión Pu...
La hipertensión pulmonar severa en caninos es una condición grave y frecuentemente silenciosa que aumenta la presión en las arterias pulmonares, afectando la respiración y el funcionamiento del corazón. Sus...

