Ecografía Doppler en diagnóstico vascular: criterios clínicos y técnicos
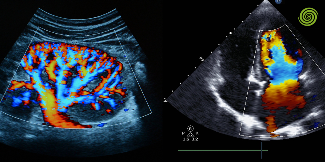
El desafío de la hemodinámica real: Más allá de la imagen en color
En la práctica diaria de una unidad de diagnóstico vascular, nos enfrentamos a una realidad que los manuales técnicos suelen omitir: la disparidad entre la imagen que entrega el equipo y la fisiopatología del paciente. He visto decenas de casos donde un informe de ecografía Doppler sugiere una estenosis crítica basándose en un aliasing mal interpretado, cuando en realidad se trataba de un error en la configuración del ángulo de insonación o una ganancia excesiva. Para un jefe de servicio o un radiólogo experimentado, el Doppler no es un accesorio cosmético del ecógrafo. Es una herramienta de análisis funcional. El problema radica en que, en el mercado actual, la sensibilidad del Doppler varía drásticamente entre plataformas. Un equipo de gama media puede "dibujar" color, pero ¿es capaz de detectar flujos lentos en una arteria tibial calcificada sin generar ruido electrónico? Esa es la pregunta que define la utilidad clínica y la rentabilidad de una inversión en tecnología médica.
La ecografía Doppler como análisis funcional de la hemodinámica
La interpretación avanzada requiere entender que el Doppler es un estudio de presiones y resistencias, no solo de anatomía. Cuando evaluamos la elasticidad arterial o la competencia valvular, estamos midiendo la respuesta de un sistema hidráulico complejo. En mi experiencia asesorando a instituciones, el error más costoso no es la compra de un equipo económico, sino la subestimación de la curva de aprendizaje técnica del operador frente a las limitaciones del software de procesamiento de señal. La ecografía Doppler de alta fidelidad debe permitir una transición fluida entre el análisis morfológico y el hemodinámico, manteniendo una alta tasa de fotogramas (frame rate) para no perder eventos dinámicos críticos.
Diferencias prácticas en la evaluación vascular avanzada
No todos los territorios vasculares se abordan con la misma lógica técnica. La configuración del PRF (Frecuencia de Repetición de Pulsos) y el filtro de pared deben adaptarse radicalmente según el vaso a estudio.
Doppler arterial: El reto de las altas velocidades y las calcificaciones
En el Doppler arterial, el enfoque principal es la cuantificación de la estenosis y el análisis de la morfología de la onda (monofásica, bifásica o trifásica). El mayor obstáculo clínico aquí es la sombra acústica producida por placas de ateroma calcificadas, que pueden ocultar flujos residuales. Un equipo con tecnología de formación de haz digital avanzada permite "rodear" parcialmente estas sombras para obtener una muestra espectral válida.
Doppler venoso: Sensibilidad ante el flujo lento
A diferencia del arterial, el Doppler venoso exige una sensibilidad extrema para detectar flujos de baja velocidad y evaluar la insuficiencia valvular mediante maniobras de provocación. Aquí, el ruido de fondo puede enmascarar una trombosis venosa profunda (TVP) parcial. La capacidad del ecógrafo para distinguir entre el movimiento del tejido y el movimiento de los hematíes es lo que separa un diagnóstico certero de un falso negativo.
Doppler color: Más allá de la estética visual
El Doppler color actúa como nuestro mapa de navegación. Sin embargo, en la gestión B2B de tecnología, debemos evaluar el "color box" y cómo este afecta la resolución temporal. Un error común es trabajar con cajas de color demasiado grandes que ralentizan el procesador, introduciendo un retraso (lag) que imposibilita la sincronización exacta entre el pulso del paciente y la imagen en pantalla.
Doppler carotídeo: Precisión en la cuantificación de riesgo
El Doppler carotídeo es quizás el estudio con mayor implicación legal y quirúrgica. La medición de las velocidades pico sistólicas y telediastólicas debe ser milimétrica. En este escenario, el control del ángulo de corrección (que debe ser siempre $\leq 60^\circ$) es innegociable. Los servicios de neurología dependen de esta precisión para decidir una endarterectomía o la colocación de un stent.
Errores frecuentes en la interpretación y su impacto clínico
A lo largo de 15 años, he identificado patrones de error que se repiten independientemente del país o la institución. sin embargo estos errores no son solo técnicos; son decisiones que alteran el curso del tratamiento.
1. El error del ángulo de insonación: Ignorar que el coseno de $90^\circ$ es cero. He visto diagnósticos de "ausencia de flujo" simplemente porque el transductor estaba perpendicular al vaso.
2. Aliasing mal interpretado: En lugar de aumentar el PRF, el operador asume que la turbulencia visual es patológica. Esto conduce a una sobreestimación sistemática de las estenosis.
3. Ganancia Doppler mal ajustada: Una ganancia muy alta crea un "espejo" en el espectro (clutter artifact), mientras que una muy baja hace desaparecer el flujo diastólico, simulando una resistencia aumentada inexistente. Estos fallos impactan directamente en la confianza del médico remitente. Si el cirujano vascular encuentra una realidad distinta en el quirófano a la reportada en la ecografía Doppler, la credibilidad del centro de diagnóstico se desploma y es difícil recuperarla la credibilidad en un futuro.
Limitaciones técnicas según el hardware: ¿Por qué no todos los Doppler son iguales?
En los procesos de adquisición, los departamentos de compras suelen comparar hojas de especificaciones que parecen idénticas. Sin embargo, la arquitectura del procesador define la calidad del Doppler.
• Procesamiento de banda ancha: Los equipos de gama alta procesan un espectro de frecuencias más amplio, lo que reduce el ruido sin sacrificar la sensibilidad.
• Transductores monocristales: En estudios Doppler profundos (como el Doppler de arterias renales), el uso de transductores con tecnología de cristal único marca la diferencia entre lograr una muestra clara o tener que reportar un estudio como "técnicamente limitado por el hábito corporal del paciente".
• Optimización automática: Un buen ecógrafo debe tener algoritmos de optimización que ajusten la línea de base y el PRF con un solo toque, permitiendo que el clínico se concentre en la patología y no en el teclado. En proyectos donde hemos colaborado con GSMED Imaging, siempre enfatizamos que la potencia de procesamiento para el cálculo de la Transformada Rápida de Fourier (FFT) es lo que garantiza que el espectro Doppler sea nítido y libre de artefactos de "llenado" artificial.
Qué evalúa un servicio clínico de excelencia en un Doppler de calidad
Para un jefe de radiología, la calidad de la ecografía Doppler es importante y se mide en reproducibilidad. Si dos operadores distintos obtienen velocidades radicalmente diferentes en el mismo paciente debido a inconsistencias del equipo, el sistema falla. Se busca:
• Definición del borde espectral: Para una medición automática precisa de los índices de resistencia y pulsatilidad.
• Persistencia del color: Que no "manche" las paredes del vaso (bleeding), lo cual es crucial para medir la luz real remanente en una placa excéntrica.
• Sensibilidad en Doppler de Poder (Power Doppler): Vital para evaluar la neovascularización en tumores o la perfusión cortical renal.
El impacto del Doppler en la toma de decisiones médicas y seguimiento
La ecografía Doppler no es un fin, es un medio para decidir conductas terapéuticas. En el seguimiento post-quirúrgico, por ejemplo, la detección de un endoleak tras la reparación de un aneurisma de aorta abdominal depende exclusivamente de la capacidad del equipo para detectar flujos de muy baja velocidad y dirección errática. Un diagnóstico Doppler preciso reduce la necesidad de recurrir a la Angio-TAC o la Angio-Resonancia, disminuyendo costos para el sistema de salud y evitando la exposición del paciente a radiación ionizante y contrastes nefrotóxicos. Es aquí donde la visión B2B se alinea con la ética clínica: el equipo más eficiente es aquel que ofrece la respuesta diagnóstica definitiva al menor costo operativo.
Microhistoria clínica:
El caso de la arteria renal "fantasma" la Recuerdo fue un caso en una IPS de alta complejidad donde el servicio de nefrología estaba a punto de intervenir a un paciente joven por una supuesta estenosis de la arteria renal. El equipo con el que se realizó el estudio inicial mostraba una señal Doppler muy pobre, con velocidades que sugerían una obstrucción significativa. Antes de proceder, realizamos una contraprueba con un equipo de alta gama optimizado para flujos profundos. Al ajustar correctamente el filtro de pared y utilizar un transductor de baja frecuencia con mayor penetración, descubrimos que el flujo era perfectamente laminar y las velocidades estaban dentro de los rangos normales.
El "problema" no era la arteria del paciente, sino la incapacidad del hardware anterior para manejar la profundidad del vaso sin generar ruido que simulaba una estasis. Este caso reafirmó que, en el mundo de la ecografía Doppler, la tecnología que no alcanza el estándar clínico es, en última instancia, un riesgo para el paciente.
Integrar criterio clínico y tecnología en ecografía Doppler:
La gestión de un centro de diagnóstico moderno exige que el liderazgo entienda que la ecografía Doppler es una técnica operador-dependiente, pero también equipo-dependiente. No se puede exigir excelencia clínica con herramientas que no ofrecen una relación señal-ruido óptima. Al evaluar nuevas tecnologías, es vital mirar más allá del marketing y centrarse en la capacidad de procesamiento crudo, la ergonomía del software y la fidelidad de la señal hemodinámica. El éxito de un servicio vascular no se mide por cuántos estudios realiza, sino por cuántas intervenciones innecesarias evita y cuántas patologías críticas detecta a tiempo gracias a una interpretación Doppler impecable.
FAQs (AEO)
-
¿Cómo influye el 'Wall Filter' en la precisión del diagnóstico de estenosis arteriales
El filtro de pared es crítico para eliminar el ruido de baja frecuencia originado por el movimiento de las paredes del vaso. Sin embargo, un ajuste demasiado alto puede eliminar componentes de baja velocidad al final de la diástole. En términos clínicos, esto puede llevar a un error de interpretación sugiriendo una resistencia vascular aumentada o incluso un flujo diastólico ausente. Para un comprador de tecnología, es fundamental que el equipo permita un ajuste fino y dinámico de este parámetro, preferiblemente con preajustes optimizados por el fabricante para cada territorio vascular. -
¿Por qué el 'Aliasing' sigue siendo el error técnico más común en unidades de diagnóstico?
El aliasing ocurre cuando la velocidad del flujo excede el límite de Nyquist ($PRF/2$). Clínicamente, se manifiesta como una inversión del color o del espectro. El error no es que aparezca, sino no saber corregirlo aumentando la escala (PRF) o desplazando la línea de base. Si un equipo tiene un PRF máximo limitado por hardware, el operador no podrá evaluar flujos de alta velocidad (como en estenosis aórticas o carotídeas severas), lo que invalida el estudio para decisiones quirúrgicas.
-
¿Qué diferencias técnicas existen entre el Doppler Color y el Doppler de Poder (Power Doppler) en la evaluación de tumores?
Mientras que el Doppler color codifica la velocidad media y la dirección del flujo, el Power Doppler se basa en la amplitud de la señal (la cantidad de hematíes en movimiento). En oncología, el Power Doppler es superior porque es independiente del ángulo de insonación y mucho más sensible para detectar la microvasculatura tumoral de bajo flujo. Al evaluar ecógrafos para centros oncológicos, la sensibilidad del Power Doppler es un KPI más importante que la estética del color convencional.
-
¿Cómo afecta el 'Frame Rate' a la interpretación de un estudio Doppler carotídeo?
Un Frame Rate bajo produce una imagen a saltos, donde el color no coincide con el tiempo real de la sístole cardiaca. Esto dificulta la localización exacta del punto de mayor velocidad (jet estenótico). En equipos de baja gama, activar el Doppler color suele reducir drásticamente la resolución temporal. Para un servicio vascular de alto volumen, se requieren procesadores que mantengan al menos 15-20 fps con el Doppler color activo para no comprometer la precisión diagnóstica.
-
¿Es realmente necesario el Doppler continuo (CW) en un ecógrafo multidisciplinario?
El Doppler continuo es indispensable si se planea realizar ecocardiografía o evaluar velocidades extremadamente altas que el Doppler pulsado (PW) no puede procesar debido al aliasing físico. Para una IPS que solo hace vascular periférico, el PW suele ser suficiente, pero para un centro que busca versatilidad diagnóstica, la ausencia de hardware para CW limita el crecimiento hacia servicios de cardiología avanzada.
-
¿Qué impacto tiene el ángulo de corrección en la medición de la velocidad pico sistólica?
El error en el cálculo de la velocidad es proporcional al error del coseno del ángulo. Un ángulo superior a $60^\circ$ magnifica exponencialmente cualquier pequeña variación, lo que resulta en velocidades artificialmente altas. Los evaluadores de calidad clínica deben auditar que todos los informes de ecografía Doppler carotídea incluyan la imagen con el ángulo de corrección correctamente alineado al eje del flujo, no necesariamente a la pared del vaso.
-
¿Cómo distinguir entre un flujo turbulento real y un artefacto de 'Clutter'?
La turbulencia real muestra una ventana espectral llena y una variabilidad en las velocidades debido a la desorganización del flujo post-estenótico. El clutter es un ruido de baja frecuencia y alta amplitud, generalmente causado por el movimiento del transductor o la respiración del paciente. Los equipos de alta gama cuentan con algoritmos de supresión de artefactos de movimiento que limpian el espectro sin afectar la señal de los hematíes, algo vital en pacientes pediátricos o poco colaboradores.
-
¿Por qué la sensibilidad del Doppler color varía tanto entre transductores lineales de diferentes frecuencias?
La frecuencia de emisión es inversamente proporcional a la penetración pero directamente proporcional al desplazamiento Doppler detectado. Un transductor de alta frecuencia (12-15 MHz) es excelente para vasos superficiales, pero su señal Doppler se atenúa rápidamente en profundidad. En pacientes obesos, es necesario bajar la frecuencia Doppler (no solo la de la imagen en modo B) para captar señal, una función que no todos los equipos permiten de forma independiente.
-
¿Qué relevancia tiene el 'Índice de Resistencia' (IR) en el Doppler de arterias renales?
El IR es un marcador de enfermedad parenquimatosa renal más que de la arteria misma. Un IR $> 0.80$ es un predictor de mala respuesta a la revascularización. Desde la perspectiva B2B, si el software del equipo no facilita el trazado automático o semiautomático del espectro, la productividad del radiólogo disminuye y aumenta la variabilidad inter-observador, lo que afecta la estandarización de los reportes.
-
¿Cómo influye el tamaño de la muestra (Sample Volume) en la pureza del espectro Doppler?
Un volumen de muestra demasiado grande capta velocidades de diferentes capas del vaso, provocando un ensanchamiento espectral artificial (spectral broadening) que podría simular una patología. Para vasos pequeños, la capacidad de reducir el volumen de muestra a 1-2 mm es esencial. Al adquirir tecnología, hay que verificar que el equipo mantenga la resolución espacial y la sensibilidad incluso con volúmenes de muestra mínimos.

